Dealerbaba
HomeServicesHealth CareHospital and ClinicsScaling and Root Planning (Teeth Cleaning)
Scaling and Root Planning (Teeth Cleaning)

Scaling and Root Planning (Teeth Cleaning)

716 views Bavdhan, Pune

Description

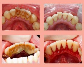
Scaling and root planing, also known as conventional periodontal therapy, non-surgical periodontal therapy, or deep cleaning, is a procedure involving removal of dental plaque and calculus (scaling or debridement) and then smoothing, or planing, of the (exposed) surfaces of the roots, removing cementum or dentine that is impregnated with calculus, toxins, or microorganisms, the etiologic agents that cause inflammation. This helps to establish a periodontium that is in remission of periodontal disease. Periodontal scalers and periodontal curettes are some of the tools involved.
best dental scaling and root planning in bavdhan