Dealerbaba
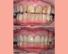
Restorations (Tooth Filling)

Restorations (Tooth Filling)

798 views Bavdhan, Pune

Description

It is a branch of dentistry that deals with restoring teeth affected by the most common conditions – Dental caries or tooth decay. Dental caries can be present on the biting surfaces of teeth, approximal surface facing the adjacent tooth, or the angle of the tooth or it may involve a major portion of the tooth surfaces.
best dental restoration in bavdhan