Dealerbaba
Replacement of Missing Teeth

Replacement of Missing Teeth

780 views Bavdhan, Pune

Description

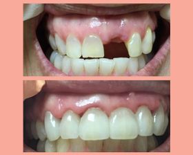
In some cases a single tooth is extracted or multiple teeth are removed. If there is inadequate height and width of bone, or patient is medically compromised or adjacent teeth are weak, then a removable partial denture is fabricated for the patients. This can be removed or worn by the patient and ideally should be removed at night. This is made up of acrylic teeth and denture base, which rests on the jaw bone in areas of the missing teeth.
Replacement of Missing TeethTeeth Replacement