Dental Panoramic X-Ray in Dubai
147 views https://www.dentalclinicdubai.ae/general-dentistry/dental-panoramic-x-ray/
SupplierDental Clinic Dubai
Description
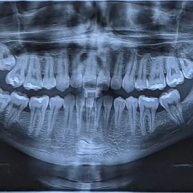
A Dental Panoramic X-Ray in Dubai provides a comprehensive, wide-view image of the entire mouth, including teeth, jaws, and surrounding structures. It helps dentists diagnose issues like impacted teeth, jaw disorders, and bone abnormalities quickly and painlessly, making it a vital tool for effective dental care and treatment planning.
Dental Panoramic X-Ray in Dubai
Other Products and Services of Dental Clinic Dubai
Services (20)
- → Gum Tissue Removal in Dubai
- → Teeth Whitening Cost in Dubai
- → Dental Appliances in Dubai
- → Orthodontists Dubai
- → Gingivectomy in Dubai
- → Crowded Teeth Treatment in Dubai
- → Composite Bonding Dubai
- → Teeth braces in Dubai help straighten teeth, corre
- → Teeth Retainers in Dubai
- → Dental Tooth Filling in Dubai
- → Composite Veneers in Dubai
- → Gum Contouring in Dubai
- → Enfield Dental Clinic in Dubai
- → Posterior Root Canal in Dubai
- → Zirconia Crown in Dubai
- → Teeth Whitening in Dubai
- → Dental Veneers in Dubai
- → Dental Implants in Dubai
- → Root Canal Treatment in Dubai
- → Our clinic provides expert dental care, including