Dealerbaba
HomeServicesHealth CareHospital and ClinicsDental Crowns in Manhattan & Brooklyn, NY
Dental Crowns in Manhattan & Brooklyn, NY

Dental Crowns in Manhattan & Brooklyn, NY

325 views 827 11th Ave Ground Floor New York, NY 10019

Description

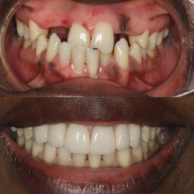
A dental crown is sometimes called a cap because it covers or ‘caps’ a tooth, so none of the original tooth is visible. Many people have at least one or two crowns, so if we recommend this procedure, there is nothing to be concerned about, and treatment is often used in cosmetic dentistry. However, you probably want to know more about why a crown is necessary and what to expect. Here are some of the most important points to consider. What is a Dental Crown? A dental crown is a restoration that covers a natural tooth right down to the gum line. The crown is made to fit tightly over the tooth, sealing it completely around the margin, just below the gum line. Because the entire tooth is covered, it is protected from damage preventing infection and decay. A dental crown can be made from various materials depending on the location of the tooth, patient preferences, and budget. When Do You Need a Dental Crown? If you have a tooth that is uncomfortable or painful or is significantly decayed or damaged, you might need a crown to restore it. Typically, we will suggest a dental crown to restore a tooth that is infected and requires root canal therapy, or has suffered from decay or is damaged by trauma, such as a blow to the mouth or vehicle accident, resulting in a loss of much of its structure. Century Dentistry Center 827 11th Ave Ground Floor New York, NY 10019 (212) 929-2202 Working Hours: Monday- Friday: 9:00 am - 6:00 pm Saturday: 9:00 am - 4:00 pm Sunday: Closed Payment: cash, check, credit cards.
Dentist

Other Products and Services of Century Dentistry Center